Once again, the central point is this: viruses have not been shown to exist in a scientifically rigorous manner.
People often respond to this statement—sometimes politely, sometimes harshly—by accusing me of ignorance or denial, insisting that viruses “obviously exist” and have been “clearly shown” in photographs. This reaction is not due to stubbornness or misunderstanding on my part; rather, it reflects a widespread lack of understanding of what those photographs actually represent.
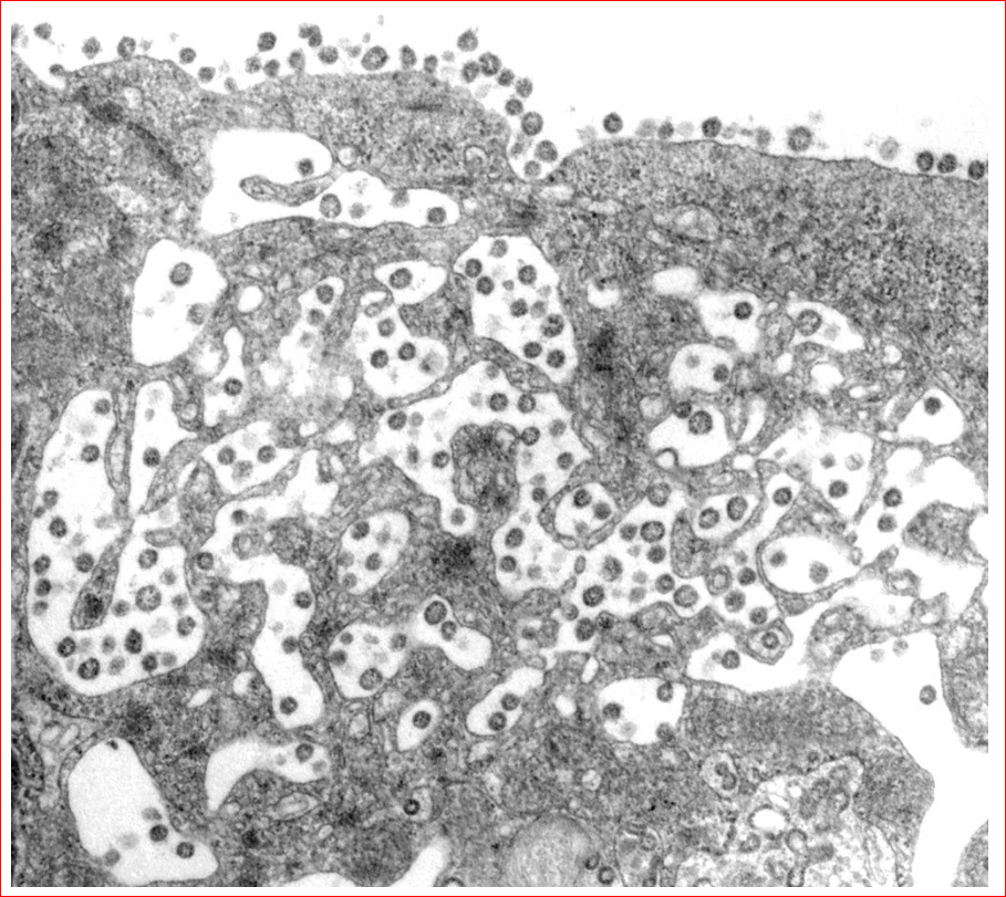
Images commonly presented by authoritative institutions, including the CDC (see below), are not photographs of isolated viruses. They are images of cell cultures—complex laboratory mixtures described as environments in which viruses are claimed to be “grown” or “produced.” Within these images, certain structures—often small dots or particles—are labeled as viruses. However, labeling is not evidence. These structures are assumed to be viruses; they are not scientifically demonstrated to be viruses.
A true photograph of a virus would require that the virus first be isolated and purified as a distinct physical entity. Only then could it be imaged, characterized, and validated. This is the standard scientific approach used in chemistry and physics. Without isolation and purification, images lack definitive scientific meaning.
The difficulty arises because these claims are typically made by biologists and medical practitioners who present themselves as science experts or scientists. However, their training is largely procedural and clinical, not grounded in the core sciences—chemistry, physics, and mathematics—that define what scientific proof requires. As a result, they often fail to recognize this fundamental gap. They assume that presenting images alone constitutes scientific evidence, unaware that the images lack validated references.
Because these professionals are socially and institutionally recognized as authorities, their claims are widely accepted as “science-based,” and the public understandably trusts them. This has led to the widespread belief that viruses are scientifically established realities, when in fact the foundational evidence has not been demonstrated according to rigorous scientific standards.
To date, no one has directly or indirectly shown an actual virus as a purified, isolated physical entity. Consequently, claims about viral components—such as viral RNA, DNA, or spike proteins—also lack scientific grounding. These claims depend entirely on the prior assumption that viruses exist as defined entities—an assumption that has not been proven.
Claims of RNA, DNA, or spike-protein sequencing are likewise invalid. The sequencing is performed on cell cultures, not on isolated and purified viral material. From a scientific perspective, sequencing requires a defined, purified sample of the substance being analyzed. Without prior identification and characterization of a virus, its components cannot be meaningfully associated with it. Assigning viral identity to sequences derived from complex cell cultures is therefore arbitrary and scientifically unjustified. In short, no valid scientific proof can be derived from sequencing undefined mixtures.
This situation persists because biology and medicine have redefined themselves as “science,” and their practitioners have adopted the title of “scientist.” In doing so, their claims are granted scientific authority by default. In reality, these are medical practitioners trained to diagnose and prescribe treatments—not scientists trained to establish physical reality at the molecular level.
Finally, if viruses themselves have not been shown to exist in a scientific sense, then claims about virus-specific diseases, treatments, vaccines, and vaccination programs cannot rest on solid scientific foundations. From this perspective, vaccine development and vaccination campaigns become conceptual constructs grounded in unverified assumptions rather than demonstrated scientific realities.
I hope this clarifies the core issue: it is not that viruses have been misunderstood—they have never been scientifically shown to exist in the first place.

